Zahnersatz Hannover Nordstadt
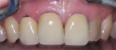
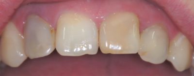
Krone als Zahnersatz
Sie kommen zum Einsatz, wenn Kariesschäden der natürlichen Zahnkrone nicht mehr durch Füllungen repariert werden können. Eine Krone/ Teilkrone ist eine festsitzende Nachbildung der äußeren Zahnsubstanz. Sie wird wie eine neue Hülle über den zuvor beschliffenen Zahn gesetzt und umfasst den gesamten Zahn vollständig respektive teilweise. Als Werkstoffe werden Metalle, Keramiken, deren Kombination sowie Kunststoffe verwendet.

Vorher

Nachher

Vorher

Nachher

Vorher

Nachher

Vorher

Nachher
Brücke als Zahnersatz
Fehlen einer oder mehrere Zähne nebeneinander, sind Brücken eine bewährte Möglichkeit die Zahnreihe zu schließen. Als Werkstoffe kommen Metalle, Keramiken, deren Kombination sowie Kunststoffe zum Einsatz.
Teilprothese als Zahnersatz
Wenn viele Zähne fehlen sind Alternative Zahnbrücken nicht mehr möglich. In solchen Fällen gibt es nur die Alternative Implantat oder Teilprothese.
Herausnehmbare Teilprothesen werden unterteilt in:
Klammerprothese
Vorteile:
Nachteile:
Geschiebe-, Anker-, Stegprothese
Diese Teilprothesen sind eine Kombination aus festsitzendem ( Kronen, Brücken) und herausnehmbaren Zahnersatz.
Vorteile:
Nachteile:
Geschiebeprothese
Stegprothese
Teleskopprothese
Vorteile:
Nachteile:
Totalprothese als Zahnersatz
Bei vollständigem Verlust aller eigenen Zähne wird eine Vollprothese notwendig. Gehalten wird der Zahnersatz über die Saugwirkung des dünnen Speichelfilms zwischen Prothese und Schleimhaut.
Vorteile:
Nachteile:


















